Vet Planet Jerković
/fixed
Vet Planet Jerković
NovoPremium










Vet Planet Jerković
NovoPremium
/fixed
Laboratorija i biohemija
Vet Planet poseduje savremenu laboratoriju i biohemijsku dijagnostiku koja omogućava brzo i precizno dobijanje rezultata. Zahvaljujući modernim laboratorijskim aparatima, analize krvi, urina i drugih uzoraka obavljamo u najkraćem roku, što omogućava pravovremeno postavljanje tačne dijagnoze i započinjanje adekvatne terapije.
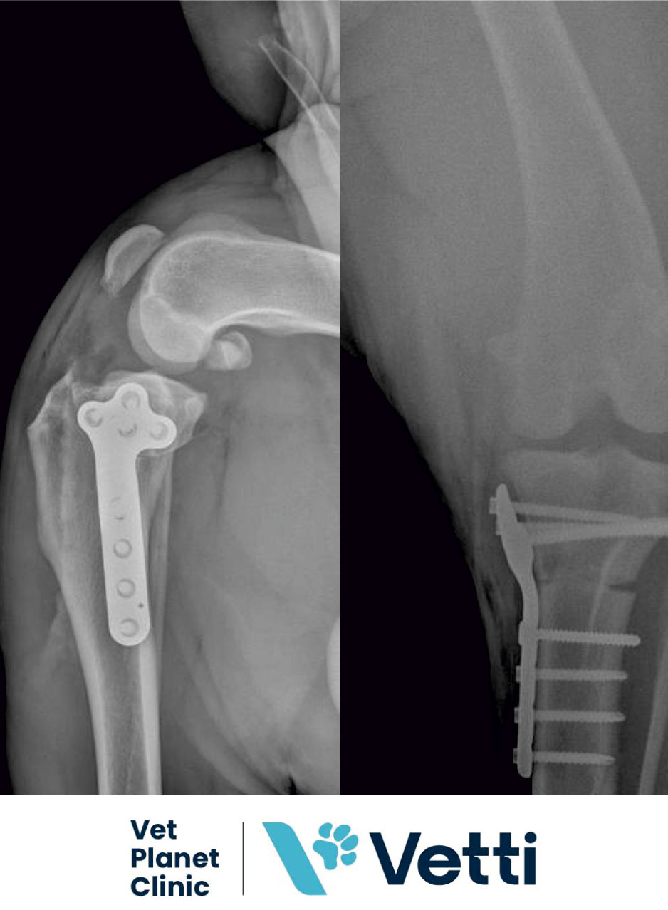
Pored laboratorije, Vet Planet je opremljen najsavremenijom dijagnostičkom opremom, uključujući ultrazvuk, digitalni rendgen i CT uređaj najnovije generacije. Moderna oprema nam svakodnevno omogućava visok nivo stručnosti, sigurnosti i kvaliteta u pružanju veterinarskih usluga.
Osobine
Mapa
Lokacija
Браће Јерковић 123d, 11040 Vozdovac Urban Municipality , Serbia
Povezani oglasi
PopularnoPremium
Ultrazvuk, rendgen I endoskopija
- Ponuda
- 9 meseci pre
- Краља Радослава 36, 11273 Belgrade , Central Serbia Serbia
- 280 views
0 RSD/fixed
PopularnoPremium
Laboratorijska dijagnostika
- Ponuda
- 9 meseci pre
- Краља Радослава 36, 11273 Belgrade , Central Serbia Serbia
- 289 views
0 RSD/fixed











































